おかげさまで開設25周年363CONSTRUCTION.COM 創業祭

363CONSTRUCTION.COM

詳しくはこちら
マイストア マイストア 変更
  • 即日配送
  • 広告
  • 取置可能
  • 店頭受取

HOT ! アイケア @abc アイケア @abc キッズ 【ASICS】 アシックス 19-23(H) LAZERBEAM FJ-MG

※363CONSTRUCTION.COM 限定モデル
YouTuberの皆様に商品の使い心地などをご紹介いただいております!
紹介動画はこちら

ネット販売
価格(税込)

10440

  • コメリカード番号登録、コメリカードでお支払いで
    コメリポイント : 4ポイント獲得

コメリポイントについて

購入個数を減らす
購入個数を増やす

お店で受け取る お店で受け取る
(送料無料)

受け取り店舗:

お店を選ぶ

近くの店舗を確認する

納期目安:

13時までに注文→17時までにご用意

17時までに注文→翌朝までにご用意

受け取り方法・送料について

カートに入れる

配送する 配送する

納期目安:

2026.02.23 16:28頃のお届け予定です。

決済方法が、クレジット、代金引換の場合に限ります。その他の決済方法の場合はこちらをご確認ください。

※土・日・祝日の注文の場合や在庫状況によって、商品のお届けにお時間をいただく場合がございます。

即日出荷条件について

受け取り方法・送料について

カートに入れる

欲しいものリストに追加

欲しいものリストに追加されました

アイケア @abc アイケア @abc キッズ 【ASICS】 アシックス 19-23(H) LAZERBEAM FJ-MGの詳細情報

アイケア @abc キッズ 【ASICS】 アシックス 19-23(H) LAZERBEAM FJ-MG。Anti-CD11c antibody [EP1347Y] - C-terminal, recombinant (ab52632。Armani Exchange AX1063 Eyeglasses | LensCrafters。@abcサロンを閉店した為、出品いたします。Anti-CD11c antibody [EP1347Y] - Carrier free (ab216655) | Abcam。新品未使用です。diosaです。。- ブランド: addicted- 商品名: Lashaddict Eyelash Conditioning Serum- 内容量: 5ml- 製造国: USA
  • アイケア @abc キッズ 【ASICS】 アシックス 19-23(H) LAZERBEAM FJ-MG
  • Anti-CD11c antibody [EP1347Y] - C-terminal, recombinant (ab52632
  • Armani Exchange AX1063 Eyeglasses | LensCrafters
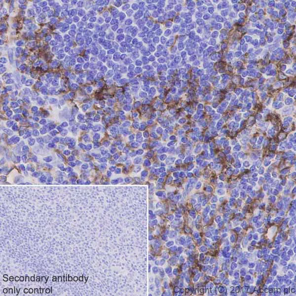
  • Anti-CD11c antibody [EP1347Y] - Carrier free (ab216655) | Abcam

同じカテゴリの 商品を探す

ベストセラーランキングです

このカテゴリをもっと見る

この商品を見た人はこんな商品も見ています

近くの売り場の商品

このカテゴリをもっと見る

カスタマーレビュー

オススメ度  4.4点

現在、3184件のレビューが投稿されています。